- 当前位置: 首页 > 补牙
- “补牙”那些事儿
- 来源:康贝佳口腔 发布时间:2018-04-13 16:43
-
俗话说“小洞不补,大洞吃苦”,讲的就是补牙的事儿,如果牙齿开始有洞,有点蛀牙,如果不及时治疗修复,任其发展,就会慢慢成一个大洞,可能会导致整颗牙齿都失去功能。
那么,什么样的牙齿需要补?用什么材料补?又有哪些补牙的方法呢?我们将一一为您道来。 >>>不看文章,直接在线咨询>>>
什么样的牙齿需要补?
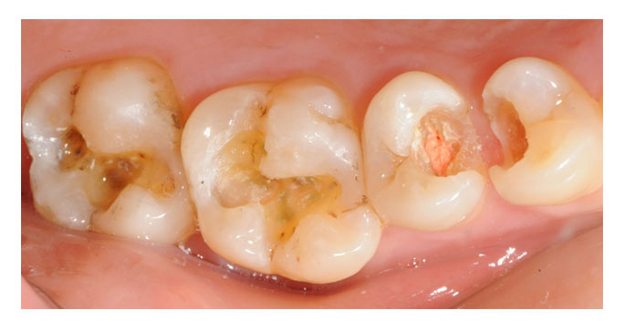
常见的需要补牙的情况是蛀牙。蛀牙俗称虫牙,开始表现为牙齿上有个黑色的小点,如果不及时治疗,就慢慢的发展成一个黑洞。虫牙并不是真的被虫子咬形成的,而是由于口腔清洁不高效,慢慢的形成牙菌斑长期作用所引起的牙齿腐蚀。

牙菌斑是牙齿表面的一层几乎无色的薄膜,含有造成龋齿的细菌。每次进食后,牙菌斑中的这些细菌会和食物中的糖分或淀粉发生化学作用,产生腐蚀牙齿的酸性物质。久而久之,牙齿的珐琅质便会破坏,形成比较脆弱的小蛀斑,若继续恶化则会形成牙洞,即蛀牙。
温馨提示:小小蛀牙,危害却不可忽视。它可以形成牙根尖周炎,严重时甚至可以导致牙齿缺失。 >>>根尖周炎怎么治疗>>>
补牙材料的种类?
补牙的材料早前常用的是银汞。回去看一下父辈,张开嘴里面漏出来的黑黑的补牙的材料基本上都是银汞。后面经过多年的研究发展,开始使用玻璃离子,再到后面的复合树脂、纳米树脂。
目前应用较为广泛的当属纳米树脂,因为其颜色多样,补牙后的效果更加接近自己的牙齿,受到医生和患者的欢迎。 >>>补牙多少钱>>>
如何选择补牙的材料?
从实惠角度来说,四种材料中,便宜的是银汞合金材料。银汞合金的优点也是有的,如使用时间较长,坚固耐磨,如果您不考虑美观,是可以考虑的。
从牙齿保健方面考虑,玻璃离子是不错的选择。玻璃离子含氟,补牙后能够缓慢的释放出氟,以便坚固牙齿,预防蛀牙。但玻璃离子的耐磨性较差,不适合咬合力量大的后牙修补。

从磨牙多少方面考虑,复合树脂是合适的选择。复合树脂的颜色比较逼真,重要的是它不需要磨损多余的牙体组织,有比较好的填充效果。
如果您既想让牙齿拥有自然的美观,使用时间长,3m纳米树脂是您的优选。还是上面说过的,一分钱一分货。当然要选择适合自己的。 >>>补牙材料不知道怎么选,在线询问>>>
补牙的步骤
1、窝洞制备:也就是祛腐。补牙前,先得把您的牙齿里面黑黑的东西去掉。这个是非常重要的一个环节。祛腐是否干净,制备时的工具精细度都决定了您补牙后的效果。

2、消毒:窝洞制备好后,然后开始消毒杀死窝洞表面的细菌。 >>>预约补牙>>>
3、充填:充填就是将补牙的材料填入蛀牙的窝洞内。这个环节看似简单,其实是见证您的口腔医生技术的时刻。充填的好坏,直接导致您补牙后牙齿的形态、咬合是否自然、正常。
补牙后注意事项
1、听从医嘱,不用刚补好的牙咀嚼食物及硬物。 >>>还有疑问,在线咨询>>>
2、补牙后如出现轻微的疼痛,可先行自我观察,有的轻微不适及疼痛可自行消失。如疼痛非但不减轻,反而进一步加重或出现咬合痛、跳痛、冷热刺激痛、夜间自发性疼痛时,应及时去医院复诊检查治疗,以查明病因,消除疼痛。
牙齿的保健护理提醒
日常生活中要注意口腔卫生,早晚刷牙,定期进行口腔检查和洁牙,及时去除牙菌斑和牙结石,减少牙菌斑和结石对牙齿的伤害。 >>>查看医院地址>>>
- 上一篇:大连补一颗牙的价格是多少?
- 下一篇:补牙需要多少钱


















