- 当前位置: 首页 > 种植牙
- 年后牙齿患上“春节病”?开年“救牙”长点心!
- 来源:康贝佳口腔 发布时间:2019-02-11 16:41
-
过年期间许多人都喜欢大嚼零食,甜的酸的统统下肚,不知不觉造成龋齿;还有的人喜欢挑战坚硬的食物如瓜子、核桃、鸡骨头,导致牙齿缺角,甚至断裂;辛辣刺激饮食加上熬夜上网或打牌,作息变得不规律,免疫力容易下降,更有可能让潜藏的牙周病一发不可收拾。春节之后拯救牙齿刻不容缓,开年“救牙”迫不及待!
病症一:牙酸、蛀牙、牙痛
春节期间,亲朋好友聚会,平均饭局和零食要进食超过十次以上,口腔清洁不能彻底,口腔成为细菌的滋生聚集地,牙齿疾病找上你。

推荐治疗方法:
牙酸、蛀牙、牙痛,长期饮食口腔内积攒过多残留物、细菌,造成牙周疾病的复发,建议给牙齿年后洗个澡——洗牙。
病症二:牙齿黄、牙发黑
春节期间,大吃大喝是常态,烟酒茶更是必备物。生活作息不规律,口腔清洁也常被忽视,因此导致牙齿污渍堆积,烟熏酒染,牙齿发黄。

推荐治疗方法:
给牙齿做个美白SPA,来一贴璀璨人生牙齿美白,瞬间美回来,冷光美白让牙齿始终展现钻石般亮白光彩。
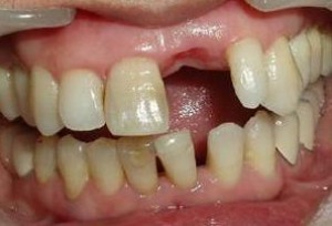
病症三:牙齿缺失
牙齿“每逢春节掉几颗”。春节大鱼大肉,珍馐美味,胃能忍,口不能忍,过度放纵的结果就是牙齿掉了。

推荐治疗方法:
a.全瓷冠让牙齿变的美观、方便、健康。
b.人类的第三副牙齿的种植牙——提升幸福,就是这么容易!
对照以上症状自我检查,你中招了吗?若不幸中招,也不要恐慌,及时到口腔医院治疗就好了。
年后牙齿如何护理?
掌握正确的刷牙方法
牙刷要选择适合自己口形的质毛较软的牙刷,太硬的牙刷易使牙龈出血。冬季,牙刷普遍会较硬,可以将牙刷放在温水中浸泡一下,使牙刷较软后再使用。

正确的刷牙方法应该是刷上牙时,方向向下,刷下牙时方向向上,用的力量不要太大,时间以2~3分钟为好。最好是每天刷牙3次,至少也要刷2次。除此之外,配合使用牙线和漱口水效果会更好。
日常饮食要注意
首先要尽量少吃、不直接进食太烫的火锅等食物,因为滚烫的食物易烫伤口腔黏膜,增大溃疡机会;其次,吃瓜子、开心果、核桃等硬物时,不要用力啃咬,以免牙齿断裂、瓷牙破损、矫正器脱落;

再次,小孩要少吃甜食、黏食,以防发生龋齿,吃完东西应及时漱口,并养成早晚刷牙的习惯;最后,注意休息避免劳累,易患口腔溃疡的患者注意补充维生素。
遇到问题及时就医
假期由于饮食和生活习惯的改变,造成的牙齿问题还有很多,比如,儿童牙外伤、根尖炎,成人牙冠断裂、牙隐裂、牙周疾病等。这些问题需要及时到医院就医,以免耽误病情造成更严重的影响。
- 上一篇:种牙难种牙贵?在这里通通解决
- 下一篇:年难过,康贝佳节后种牙老人暴增六成


















